Case of the Month
Every month we will be profiling exemplary case work that we at Eurodent feel is representative of our Diamond Standard.
August 2011 we had the pleasure of working on the case you see profiled in this section:
Work done 6-12 lava crowns




If you are a Dr and have had work done by Eurodent on a case that you think should be profiled in this section, feel free to contact us. See our contacts page for internal contact information.
Every month we will be profiling exemplary case work that we at Eurodent feel is representative of our Diamond Standard.
July 2011 we had the pleasure of working on the case you see profiled in this section:



If you are a Dr and have had work done by Eurodent on a case that you think should be profiled in this section, feel free to contact us. See our contacts page for internal contact information.
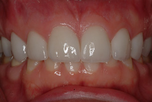
Every month we will be profiling exemplary case work that we at Eurodent feel is representative of our Diamond Standard.
June 2011 we had the pleasure of working on the case you see profiled in this section:
Work done custom lava abutment and emax crown.



If you are a Dr and have had work done by Eurodent on a case that you think should be profiled in this section, feel free to contact us. See our contacts page for internal contact information.
Every month we will be profiling exemplary case work that we at Eurodent feel is representative of our Diamond Standard.
May 2011 we had the pleasure of working on the case you see profiled in this section:






If you are a Dr and have had work done by Eurodent on a case that you think should be profiled in this section, feel free to contact us. See our contacts page for internal contact information.
Every month we will be profiling exemplary case work that we at Eurodent feel is representative of our Diamond Standard.
April 2011 we had the pleasure of working on the case you see profiled in this section:





If you are a Dr and have had work done by Eurodent on a case that you think should be profiled in this section, feel free to contact us. See our contacts page for internal contact information.
Every month we will be profiling exemplary case work that we at Eurodent feel is representative of our Diamond Standard.
March 2011 we had the pleasure of working on the case you see profiled in this section:
Porcelain veneers 4-11 and lava crown #13










If you are a Dr and have had work done by Eurodent on a case that you think should be profiled in this section, feel free to contact us. See our contacts page for internal contact information.
Every month we will be profiling exemplary case work that we at Eurodent feel is representative of our Diamond Standard.
February 2011 we had the pleasure of working on the case you see profiled in this section:
Empress crowns on 8 and 9 with cut back and layering technique. Photos were provided by the doctor to aid in characterization.



If you are a Dr and have had work done by Eurodent on a case that you think should be profiled in this section, feel free to contact us. See our contacts page for internal contact information.
Every month we will be profiling exemplary case work that we at Eurodent feel is representative of our Diamond Standard.
January 2011 we had the pleasure of working on the case you see profiled in this section:
LAVA CROWN ON IMPLANT ABUTMENT TOOTH #9. TECHNICIAN TOOK CUSTOM SHADE AND PHOTOS PRIOR TO FABRICATION. FINAL GLAZE AND CHARACTERIZATION DONE CHAIRSIDE AT LAB WITH A CUSTOM FINISH.





If you are a Dr and have had work done by Eurodent on a case that you think should be profiled in this section, feel free to contact us. See our contacts page for internal contact information.